발바닥 통증의 원인 총정리
- 건강한 정보
- 2025. 8. 30. 04:06
발바닥 통증의 원인 총정리 (2025 최신판)
아침에 일어나 첫 발을 디딜 때, 또는 오래 걷거나 운동 후 발바닥이 찌릿하게 아픈 경험 있으신가요?
발바닥 통증은 단순 피로가 아니라, 족저근막염, 무지외반증, 신경질환 등 다양한 원인으로 발생할 수 있습니다.
이번 글에서는 발바닥 통증의 대표적인 원인과 특징, 생활 속 주의사항을 정리했습니다.
1️⃣ 족저근막염



- 가장 흔한 발바닥 통증 원인
- 발뒤꿈치부터 발가락까지 이어진 족저근막에 미세 손상이 생겨 염증 발생
- 특징: 아침에 첫 발 디딜 때 극심한 통증, 걸으면서 점차 완화
- 원인: 오래 서 있는 직업, 과체중, 잘못된 신발 착용
2️⃣ 발바닥 근육 피로·과사용



- 장시간 걷기, 달리기, 하이힐 착용 등으로 근육 피로 누적
- 발바닥 아치 구조에 무리가 가면서 통증 발생
- 주로 하루 활동량이 많은 날 저녁에 심해짐
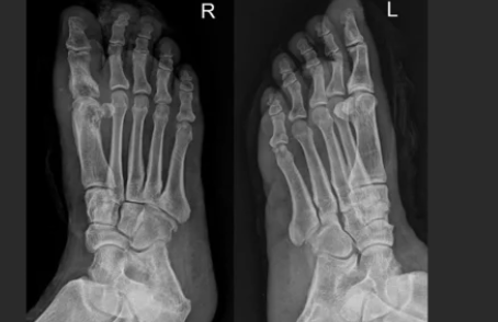
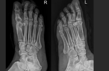
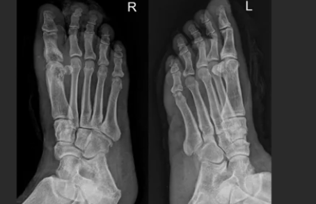
3️⃣ 무지외반증(엄지발가락 변형)
- 엄지발가락이 휘면서 발바닥 압력이 특정 부위에 집중
- 발바닥 앞쪽(중족골 부위)에 굳은살·통증 동반
- 원인: 하이힐·폭 좁은 신발, 유전적 요인
4️⃣ 발바닥 신경통 (족저 신경병증)



- 발가락 사이 신경이 눌리면서 발바닥 앞쪽 통증 발생
- 특히 제3·4 발가락 사이 통증이 흔함 (Morton 신경종)
- 증상: 저림·화끈거림·전기 오는 듯한 느낌
5️⃣ 발바닥 혈액순환 장애
- 당뇨병성 말초신경병증, 말초동맥질환이 원인
- 발바닥 통증과 함께 저림·감각 둔화 동반
- 심할 경우 상처가 잘 낫지 않고 궤양으로 진행 가능
6️⃣ 평발 또는 요족(높은 아치)



- 발 아치 구조 이상 → 걸을 때 충격이 고르게 분산되지 못함
- 평발: 발 전체가 닿아 근육·인대 피로 누적 → 통증
- 요족: 발 뒤꿈치와 앞꿈치에 체중 집중 → 발바닥 국소 통증
7️⃣ 부상·외상



- 발목 염좌, 발바닥 근육·인대 손상
- 오래된 발목 불안정성이 발바닥 아치에 부담을 줘 통증 유발
- 잘못된 착지, 과격한 운동, 불편한 신발이 원인
8️⃣ 기타 원인
- 통풍: 요산 결정이 발 관절에 쌓여 극심한 통증
- 류마티스 관절염: 아침 발바닥 뻣뻣함, 관절 통증 동반
- 체중 증가: 갑작스러운 체중 변화로 발바닥에 과부하
✅ 결론



발바닥 통증은 단순 피로가 아니라 족저근막염, 근육 과사용, 신경병증, 발 구조 이상, 혈액순환 장애 등 다양한 원인으로 발생합니다.
통증 양상이 아침 심한지, 운동 후 심한지, 저림·화끈거림 동반 여부에 따라 원인을 구분할 수 있습니다.
심한 통증이 지속되거나 걸음걸이에 영향을 줄 정도라면 반드시 정형외과·재활의학과 진료를 받아야 합니다.
👉 요약: “발바닥 통증 = 원인 다각적, 정확한 진단과 생활습관 교정이 핵심”
'건강한 정보' 카테고리의 다른 글
| 잇몸이 내려앉을 때, 잇몸 복원치료 방법 총정리 (0) | 2025.09.10 |
|---|---|
| 발톱무좀 없애는 방법 총정리 (0) | 2025.09.10 |
| 고지혈증에 좋은 음식 (2025 최신판) (5) | 2025.08.30 |
| 연골에 좋은 영양제 총정리 (3) | 2025.08.27 |
| 허벅지 살빼는 운동 BEST 7 (2) | 2025.08.26 |